
This article will use the terms mini implants / mini screws / and Temporary Anchorage Devices TADs interchangeably.
Orthodontic anchorage is a very important concept for a successful treatment outcome. Before the introduction of mini implants in the 90s, head gear was used widely to gain extra anchorage when needed. But it was uncomfortable to patients and compliance was a big challenge for the treating orthodontist. That is why temporary anchorage devices TADs were introduced.
An orthodontic mini implant “ also called Temporary Anchorage Device TAD” is a small medical screw specially designed to be placed temporarily in the bone between or around the teeth. It is made of a special medical grade Titanium alloy and comes in different head designs based on the clinical use. When placed correctly, mini implants have a very high success rate (REF) and will act as a skeletal anchorage.
Why are mini implants a game changer and the future in orthodontics?
Newton's third law in physics stated that; “For every action, there is an equal and opposite reaction." This law also applies completely to orthodontic teeth movement. Orthodontists for decades used to struggle fighting the unwanted opposite reaction. This unwanted reaction caused a lot of limitations on how to treat certain cases such as the pure forward movement of posterior teeth to close an extraction space.
The mini implant will act as reaction absorber transferring the unwanted force to the skeletal bone “thus the term skeletal anchorage.” This will negate any unwanted tooth movement and direct the force ONLY where it is needed. 
What factors should be considered when selecting a mini implant system in orthodontics?
Why is Infinity® a top voted Temporary Anchorage Device TAD by orthodontists?
Infinity Orthodontic mini implants is one of the best mini implants for the following reasons:
IOS sells the Infinity mini implant is 3 different sizes:
Notice the unique double thread design for the inifinity TAD
What is needed to place mini implant in orthodontics?
Before placing mini implants, make sure you have some essential tools and materials

Mini implant placement in orthodontics is a simple procedure that requires some basic anatomy knowledge as well as proper training. Before starting mini implants placement, it is recommended to practice on a real human skull to get an idea of bone vs teeth resistance. If you are interested to join one of our courses, please call your IOS representative.

What are the advantages of using mini implants / Temporary Anchorage Devices TADs in orthodontics?
1. Control anchorage as needed
2. Shorten treatment time
3. Direct orthodontic forces in any needed direction.
4. Provide extra retention in certain cases.
• Do select the location of the mini implant for orthodontic anchorage carefully. Remember you need good bone of at least 1 mm thickness (REF) and enough clearance to move teeth.
• Do not force the Temporary Anchorage Device TADs if you feel resistant. You are close to a root! These implants are small and might break. This has been documented in research that “Root contact can be recognized during pre-drilling by a distinct increase in resistance, and during mini-implant insertion by higher torques.(REF)”
• Do not overtighten the mini screw head into the gingival tissue. Overtightening will cause the gingival to grow over the head.
• Do not be afraid to use a scalpel. Always have a #15 just in case you need to expose the head. Never use an electrosurge.
A perfect placement of a mini implant between UL5-6
What are the reasons of orthodontic mini implant failure?
1. Poor bone quality
2. Poor oral hygiene; research has shown that poor oral hygiene has a significant effect on mini implants failure (REF)
3. Improper initial placement
4. Inflammation of soft tissue surrounding the temporary anchorage device (REF)
5. Age of the patient. Mini-implants placed in younger patients have a greater risk of failing (REF) .
What are the clinical uses for Temporary Anchorage Devices TADs?
Imagination is the limit, but here are the most common applications of orthodontic mini implants:
1. Open bite treatment.
Place at least two infinity 1.5 mm mini implants to the intrude the posterior teeth. This will help to reduce the anterior open bite. Sometime you need to place 4 mini implants; 2 in the buccal and 2 in the palate. In severe cases, you might also need to relocate the mini implant higher as the molars are being intruded.
2. Under bite treatment
You can treat the under bite either with extracting the lower wisdom teeth or the first premolars. Place 2 infinity mini implants distally to the dental unit that you need to move distally in order to correct the under bite.

3. Intrusion to correct super-erupted teeth.
Another applications of orthodontic mini implants is to intrude super erupted teeth. The use of temporary anchorage devices for molar intrusion might be done with sectional braces. It is recommended to place two infinity mini implants; in the buccal 8.5 mm long and in the palatal 11 mm to compensate for the thickness of palatal tissue.

4. Close the space of a missing tooth.
Missing teeth are associated with a different degree of bone loss. This bone loss will place a challenge to replace the missing tooth with a traditional dental implant. Another alternative to the dental implant is to close the space with braces if enough teeth exist. This technique will require the use of a Temporary anchorage device TADS to direct the force into the direction of the missing tooth. Make sure the root size of the moving tooth is strong enough “conical roots in molars perform weakly in bodily movement”


5. Upright mesially tilted second molas as well as third molars if needed.
You can place the infinity Temporary Anchorage Device TADs mesial or distal to upright the tilted tooth.
a. If you place the mini implant mesially, then you need a cantilever system to deliver the uprighting force as the case below

b. If you place the mini implant distally, then you need to use a power chain or a closed coil NiTi to deliver the upright force.

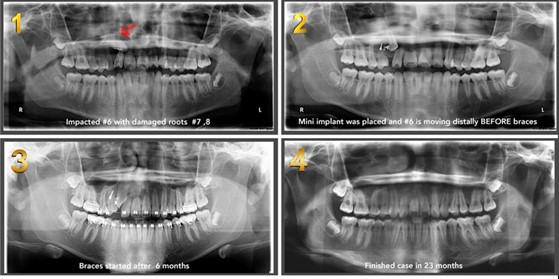
6. Retract impacted canines into proper position to prevent further root damage
Impacted canines can cause root resorption of the adjacent teeth. if such a damage is present and in early stage, moving the canine away from the damaged tooth is very important to prevent any further damage. By placing a TAD distally to the canine and high enough to prevent further eruption, this skeletal anchorage will greatly lower the risk of further damaging the root of the adjacent teeth.


Mini implants in Orthodontics books
Here are some of the books that we recommend: